CASE REPORT |
||
Year : 2021 | Volume : 3 | Issue : 2| Page : 23-27 |
||
A Squamous papilloma – a case report
Shubha Kumaraswamy1*, HR Likhitha Swamy1, Kokila Ganganna2, Praveen KS3
1*Senior Lecturer, 2 Professor and HOD, 3 Reader, Department of Oral Pathology, Sri Siddhartha Dental College and Hospital, SSAHE, Tumkur, Karnataka, India
* Address for Correspondence:
Dr. ShubhaKumaraswamy, Senior lecturer, Dept of Oral Pathology, Sri Siddhartha Dental College and Hospital, Sri Siddhartha Academy of Higher Education, TumkurEmail: shubha6910mayur@gmail.com
Abstract
Abstract: Many lesions in the oral cavity have papillary appearance, among them oral squamous papillomas are most common with predilection for mucosa of hard and soft palate, tongue and uvula. Its clinical appearance sometimes mimics an epithelial malignancy, similar to verrucuous carcinoma or condylomaacuminatum. Although viral origin of human papillomavirus infection is accepted, there is slight controversy regarding its pathogenesis. In this article we report a case of oral squamous papilloma occurring on lateral border of tongue with recurrence.
Key words: Human papilloma virus, exophytic growth, lateral border of the tongue, recurrence.
Introduction
Papilloma viruses belong to family of Papoviruses. Papillomaviruses are species specific and infect squamous epithelia and mucous membrane causing different types of warts and papillomata in the hosts. Human papillomavirus (HPV) infects only humans and can be grown only in organ cultures of human skin. [1] Over 70 serotypes of HPV have been recognized with correlation between virus type and lesion produced. HPV infection occurs early in life through birth canal or by close contact with infected persons affecting oral cavity, oropharynx, larynx and skin. It may persists for a long time, promoting cell proliferation and transformation leading to many benign and malignant diseases. [2, 3] Although oral squamous papilloma is not life threatening, its clinical appearance may mimic exophytic carcinoma, verrucuous carcinoma or condylomaaccuminatum which raises the concern for prompt diagnosis. In this article we describe a case of squamous papilloma arising on the lateral border of tongue with verruccous growth and recurrence, with emphasis on differential diagnosis.
Case History
A 60 year old female patient reported with chief complaint of growth over right side of the tongue since three months. The growth was smaller in size and gradually developed to the present size. Patient gave history of hypertension but was not on any medication and also reported symptoms of gastritis since 15 days. Patient revealed past dental history of having her posterior teeth extracted bilaterally in both upper and lower arches, due to decay and loosening of teeth. Patient also gave history of a peanut sized growth on right lateral border of tongue which she got removed four years back. On general physical examination patient was moderately built, well nourished, cooperative and well oriented with time, place and person, with no signs of pallor, icterus, cyanosis, clubbing or edema. No abnormality was detected on labial and buccal mucosa, palate and floor of the mouth.
On examination an irregular whitish pink papillary proliferative growth, measuring approximately 1x0.5cm was noticed on the right lateral border of tongue and two lesions merging with each other (Figure 1). Lesion was sessile, non tender and fixed to right lateral border of the tongue. A clinical provisional diagnosis of papilloma of right lateral border of the tongue was considered.
Figure-1 showing whitish pink papillary proliferative growth on right lateral border of the tongue
Clinical histopathological differential diagnosis: Verruco papillary lesion like verruca vulgaris, verruciformxanthoma, proliferative leukoplakia and verrucous carcinoma were given.
Excisional biopsy was done and specimen was sent for histopathological examination.
Figure 2 is showing creamish white soft tissue specimen with papillary projections arising from surface of tissue specimen with irregular surface and borders.
Figure 3 showing soft tissue specimen cut into 2 halves
Histopathology report
On histological examination finger like papillary projections emerging from a broader stalk consisting of stratified squamous parakeratinized epithelium of variable thickness with acanthosis and thin connective tissue core containing few blood vessels was noted. The epithelium showed basilar hyperplasia. Mild chronic inflammatory infiltration was evident in sub epithelial connective tissue. Correlating with clinical and histological findings, the final diagnosis was given as squamous papilloma of the right lateral border of the tongue.
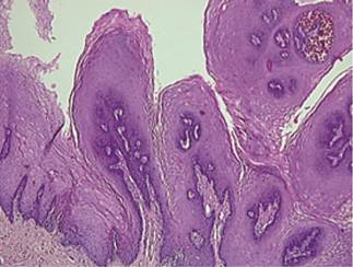
Figure 4 : H & E stained section at 4X showing papillary projection arising from broader stalk with variable thickness.
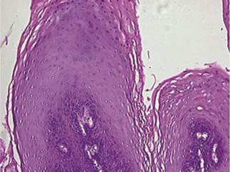
Figure 5 : H & E stained section at 10X showing papillary projection arising from broader stalk with variable thickness.
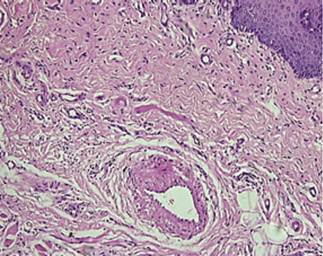
Figure 6: H & E stained section at 10X showing mild inflammatory infiltrate is evident in sub epithelial connective tissue along with blood capillaries.
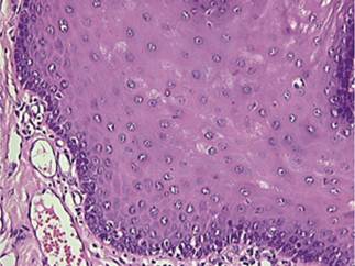
Figure 7: H & E stained section at 20X showing acanthosis, mitotic figures in basal layer and no cellular atypia.
Oral squamous papilloma was first described by Tomes as “gingival wart” in 1848.[1,5] Human papilloma virus belongs to papovavirus group, although etiology is still unclear, oral squamous papillomas are most commonly associated with HPV 6, 11 and 16. [1,6] These lesions are benign exophytic, with rugose red or white surface, having sessile or pedunculated base, presenting as verruciform or papillary proliferations. Most commonly they are asymptomatic with finger like projections, commonly on hard and soft palate followed by uvula, tongue and lips. The mean age of occurrence is 36.4 years with average size of <1.0cm. Our case showed all the features reported in the literature except for the age of occurrence. Though patient gave history of similar appearing lesion 4 years back on the same location which was surgically removed, unfortunately patient had no records of previous reports. Papillomas of oral cavity
differ from other body parts. Oral squamous papillomas show higher frequency of occurrence and recurrence if not properly excised and also show higher neoplastic potential compared to other papillomas. [4]
Traditionally squamous papilloma's are divided into two types:[3]
1) Isolated –solitary
2) Multiple –recurring
Table-1 : Difference between solitary papilloma and multiple papilloma [3]
ISOLATED –SOLITARY TYPE |
MULTIPLE –RECURRING TYPE |
Usually found in adults oral cavity |
Found in child’s laryngotracheal bronchial complex |
Exophytic, pendunculated growths resembling cauliflower appearance. |
Exophytic sessile |
Usually white, but occasionally pink in colour |
White/pink in colour |
Malignant transformation is rare |
Malignant transformation more common |
Table -2 : Differential diagnosis of oral squamous papilloma [7]
Lesion |
Squamous papilloma |
Verruciformxanthoma |
Verruca vulgaris |
Hecks disease/Focal epithelial hyperplasia |
Etiology |
HPV 6 &11 |
Unknown |
HPV 2,4,6,40 |
HPV 13 &32 |
Common site |
Soft palate, tongue and lip |
Alveolar ridge and gingival |
Anterior tongue,vermilion border and labial mucosa. |
Labial, buccal and lingual region |
Clinical presentation |
Cauliflower or wart like appearance |
White or red color, papillary or rough surface |
Painless papule or nodule with papillary projections or plebby surface |
Multiple white to pinkish papules |
Histopathology |
Finger like projections resembling keratinized exophyticverrucopapillary processes, acanthosis and fibrovascularstroma |
Stroma exhibits the presence of foamy histiocytes or granular cells |
Finger like or pointed projections, chronic inflammatory cells in connective tissue core. Produce cupping effect. Presence of mitosoid cell or bodies |
Hyperplastic epithelium with no keratosis, broadening and clubbing of rete ridges without dysplastic features. Presence of mitosoid cell |
Conclusion
Although squamous papillomas are common lesions of the oral cavity, their occurrence and recurrence on the lateral border of the tongue is important because an early clinical and histopathological examination of these lesions is important because of their association with oral dysplasias and carcinomas.
Acknowledgement: Nil
Financial support and sponsorship: Nil
Conflict of interest: Nil
References
1) Chaitanya P,Martha S, Punithvathy R, Reddy M. Squamous Papilloma on Hard Palate: Case Report and Literature Review. Int J ClinPediatr Dent 2018;11(3):244-246.
2) Singh AK, Malik U, Malhotra S, Kumar A. Squamous papilloma: A report of two cases with review of literature. J Indian Acad Oral Med Radiol 2016:28;102-4
3) Jaju, P, Suvarna, P, Desai, R. Squamous Papilloma: Case Report and Review of Literature. Int J Oral Sci 2010:2;222–5
4) Satheesh Kumar K, KR Premlal, Sivaramakrishnan M, Aroumougam A. Oral Squamous Papilloma. Journal of Scientific Dentistry, 2017;7(1):46-9
5) Prasad ML, Perez-Ordonex B. Non squamous lesions of nasal cavity, paranasal sinus &nasopharynx. In: Gnepp DR, editor. Diagnostic surgical pathology of the head and neck.2nd edition. Philadelphia, PA: Saunders; 2009. pp. 127–129.
6) Gracia de FW, Silva P, De Quieroz AM.Oral papilloma in pediatric patients.Braz J Oral Sci. 2006;5(16):938–940.
7) Regezi, JA, Sciubba, JJ, Jordan RCK. Oral Pathology. In: Clinical Pathologic Correlations. 5th edition.Elsevier; 2009.pp. 33-5.

Attribution-NonCommercial-ShareAlike
CC BY-NC-SA

An official peer reviewed publication of
Sri Siddhartha Medical College & Research Centre
Constituent College of Sri Siddhartha Academy of Higher Education
(Deemed to be University u/s 3 of UGC Act, 1956)
Accredited 'A' Grade by NAAC
Tumakuru, Karnataka, India. 572107
Research Journal of Medical and Allied Health Sciences is a medium for the advancement of scientific knowledge in all the branches of Medicine and Allied Sciences and publication of scientific research in these fields. The scope of the journal covers basic medical sciences, medicine and allied specialities, surgery and allied specialities, dentistry, nursing, pharmacy, biotechnology, public health and other branches of the allied health sciences. This journal is indexed with Advanced Science Index(ASI), National Science Library and Open J Gate.

E-ISSN : 2582-080X | : editor@ssmctumkur.org , info@ssmctumkur.org

Attribution-NonCommercial-ShareAlike 4.0 International (CC-BY-NC-SA 4.0)