A rare case of mebomian cell carcinoma
Yamini Tulasi R1*, Lokesh H M2
1Postgraduate, 2Professor, Department of Ophthalmology
Sri Siddhartha Medical College, SSAHE, Tumkur,
Karnataka, India
* Corresponding author
Abstract
Background: Sebaceous gland carcinoma is a fatal, slow-growing eyelid tumour that develops from meibomian glands, Zeis glands, sebaceous glands of caruncle, and periocular tissue. It is the third most prevalent eyelid cancer, with an incidence rate of 1-1.5%. 1 We report a case of meibomian gland carcinoma that was difficult to diagnose due to its atypical presentation.A 70 year old female presented with solitary painless slowly growing mass right lower eyelid of 2 months duration. Impression cytology showed squamous cell neoplasia (nonconclusive). The mass was excised locally, and histopathology confirmed meibomian gland cancer with pagetoid dissemination.
Keywords: sebaceous gland, meibomian glands, carcinoma, pagetoid
Introduction
Sebaceous gland carcinoma is a fatal, slow-growing eyelid tumour that develops from meibomian glands, Zeis glands, sebaceous glands of caruncle, and periocular tissue. It is the third most prevalent eyelid cancer, with an incidence rate of 1-1.5%. Prevalence is higher in the elderly, mainly females, with a preference for the upper lid, where meibomian glands are abundant.[1] Meibomian gland carcinomas are exceedingly uncommon, accounting for less than 1% of all malignant tumours of the eyelid. They are invasive locally and can spread to the liver, brain, and lymph nodes. Clinically, it can mimic benign and inflammatory disorders such as chalazion and blepheritis, resulting in a delayed diagnosis. Only histopathology can confirm this.[2] Because sebaceous glands are distributed throughout the tarsal plate as well as at the caruncle, malignant change in these glands may be multifocal. Sebaceous gland cancer spreads in the superficial plane, in contrast to the radial spread of Basal cell carcinoma and Squamous cell carcinoma.[3] Because of the high lipid content, sebaceous gland cancer typically has highly pleomorphic cells organised in lobules or nests with hyperchromatic nuclei and vacuolated (foamy or frothy) cytoplasm. Histologically, sebaceous gland cancer can resemble squamous cell carcinoma. However, the cytoplasm of sebaceous gland carcinoma is more basophilic than that of SCC, which is eosinophilic. [4]
Case
A 70 year old female patient presented to outpatient department of Sri Siddartha Medical College, Tumkur with history of lower lid swelling in RE since 4 months which began slowly, progressed, and was first painless She thereafter experienced slight pain for the last one week. No history of other comorbidities like diabetis mellitus, hypertension, no previous surgical history. On ocular examination: Best corrected visual acuity- RE 6/36 LE 6/18 .On slit lamp examination oval shaped lobulated swelling with multiple yellowish pinpointed out pouching with ulcerated conjunctival side measuring about 6×4 mm prolapsed out of medial conjunctival sac [Figure 1&2]. On Palpation there was no tenderness, mass was mobile & no excoriation was present. Transillumination test was negative. Punctual & sac patency assessed with 00-0 bowmen's lacrimal probe and syringing. No palpable submental and submandibular lymphnodes. In both eyes, an anterior segment examination revealed immature senile cataract. The rest of the anterior and posterior segments of both eyes were within normal limits.On impression cytology it was non conclusive squamous cell neoplasia (RE). Local excision of mass done with bowmens probe in-situ and excised mass has been sent for biposy [Figure 3]. The mass's histopathology revealed meibomian gland cancer with pagetoid dissemination. [Figure 4]
Figure 1: Pre-operative appearance of the mass in left lower eyelid (meibomian gland carcinoma)
Figure 2: Palpabral conjunctiva showing ulceration
Figure 3: post operative day 1 appearance of lower eyelid after wide local excision
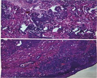
Figure 4: Histopathology of the lesion (low power 10x) which shows meibomian gland carcinoma with pagetoid spread
Discussion
Meibomian gland carcinoma is a rare, rapidly progressing malignancy that develops from the tarsal meibomian gland and Zeis glands in the eyelashes. It is the third most frequent type of eyelid cancer. [5] Kass and Hornblass reported an incidence rate of 63% in the upper eyelid and 27% in the lower eyelid and 5 % involving both eyelids.[6] However in our case report, tumor involves lower eyelid.
Sebaceous carcinoma can expand within the epidermis in a single-cell pattern (pagetoid spread), mimicking squamous cell carcinoma in situ or basal cell carcinoma histopathologically. Immunohistochemistry is important in distinguishing sebaceous cell carcinoma from basal cell carcinoma and squamous cell carcinoma.[1]
Sramek et al discovered that two essential stains can distinguish between the three epithelial membrane antigens (EMA), epithelial cell adhesion molecule/ EPCAM, and epithelial cell adhesion molecule/ EPCAM (Ber-EP4). Both the EMA and Ber-EP4 immunophenotypes support sebaceous carcinoma; the EMA positive, Ber-EP4 negative immunophenotype supports squamous cell carcinoma; and the EMA negative, Ber-EP4 positive immunophenotype supports basal cell carcinoma.[9]
Sebaceous gland cancer is primarily treated surgically. Because of the diffusely infiltrating nature of neoplasm, surgical treatment may include a wide local excision with margins spreading well beyond the palpable tumour. Lid reconstruction is equally critical after tumour removal surgery.[5]
Because of delayed diagnosis and treatment, the death rate is 5-10%. Involvement of the upper or both eyelids, as well as tumour size of 10 mm or greater, are unfavourable prognostic markers. Other risk factors include symptoms lasting more than 6 months (38% mortality), a poorly differentiated tumour, orbital extension, pagetoid dissemination, infiltration into blood vessels and lymphatics, and a multicentric origin.[1]
This case is being reported to highlight the carcinoma's indolent presentation, with smooth borders, a non-lobulated morphology, no fixity to underlying structure, and no metastasis.
Conclusion
Early detection and treatment may reduce long-term morbidity and increase the survival rate of such patients.
Acknowledgement: Nil
Financial support and sponsorship: Nil
Conflict of interest: Nil
References
1. Pandey AK, Singh A, Mansur Ali Khan Anjali MaheshwariA Unique Presentation of Meibomian Gland Carcinoma.DJO 2021;31:63-66
2. Maurya R P, Singh V P, Singh M K, P.jain, Kuwanr A, Recurrent Meibomian gland Carcinoma of Lower Eyelid in Male: A case report. Indian J Clin Exp Ophthalmol 2015;1(3):181-183
3. Stuti N Trivedi, Nitin V. Trivedi, Rajiv Khandekar. Meibomian Gland Carcinoma Masquerading As A Giant Chalazion - A Case Report. Archives of Clinical and Medical Case Reports 4 (2020): 629-632
4. Nanda L, Sanjana SM, (Brig) Srivastava VK, Shivakumar M, Dsouza JR. Meibomian Gland Carcinoma of the Eyelid: A Rare Case Report. Int J Sci Stud 2015;3(3):140-142.
5. Kala B, Priyesh K, Rahul V C, Jacob J P, Murali K, Umesh K. Reconstruction of mebomian gland carcinoma : A Case report. sjm.2019.v04i09.004
6. Kass, L.G., Hornblass, A.M. (1989). Sebaceous carcinoma of the ocular adnexa. Surv Ophthalmol, 33:477–90.
7. Ghosh SK, Badopadhyay D, Gupta S, Chatterjee G, Ghosh A. Rapidly growing extraocular sebaceous carcinoma occurring during pregnancy : A case report . Dermatol Online J 2008; 14:8
8. Devi B, Das RK, Medhi S. Case report of a rare case of meibomian gland carcinoma of the lower eyelid. Int J Res Med Sci 2016;4:3629- 31.
9. Sramek B, Lisle A, Loy T. Immunohistochemistry in ocular carcinomas. Journal of cutaneous pathology. 2008 ;35(7):641-6.
Address for Correspondence:
Dr. Yamini Tulasi R, Post graduate student
Department of Ophthalmology, Sri Siddhartha Medical College, SSAHE Tumkur Karnataka India.
Email: yaminitulasi13@gmail.com

Attribution-NonCommercial-ShareAlike
CC BY-NC-SA

An official peer reviewed publication of
Sri Siddhartha Medical College & Research Centre
Constituent College of Sri Siddhartha Academy of Higher Education
(Deemed to be University u/s 3 of UGC Act, 1956)
Accredited 'A' Grade by NAAC
Tumakuru, Karnataka, India. 572107
Research Journal of Medical and Allied Health Sciences is a medium for the advancement of scientific knowledge in all the branches of Medicine and Allied Sciences and publication of scientific research in these fields. The scope of the journal covers basic medical sciences, medicine and allied specialities, surgery and allied specialities, dentistry, nursing, pharmacy, biotechnology, public health and other branches of the allied health sciences. This journal is indexed with Advanced Science Index(ASI), National Science Library and Open J Gate.

E-ISSN : 2582-080X | : editor@ssmctumkur.org , info@ssmctumkur.org

Attribution-NonCommercial-ShareAlike 4.0 International (CC-BY-NC-SA 4.0)