Case Report |
||
Year : 2020 | Volume : 3 | Issue : 1 | Page : 38-41
DOI: https://doi.org/10.46319/RJMAHS.2020.v03i01.009 ![]() |
||
|
||
A rare case of duplication cyst along with carcinoma of sigmoid colon presented as acute intestinal obstruction: A case report.
Dharanesh B1, Hanumantha B Vaggara2*, Geeta K Avadhani3
1 General Surgeon, Government Hospital, Channarayapatna, 2 Post graduate, 3 Professor, Department of Genaral Surgery, Adichunchanagiri Institute of Medical Sciences, BG Nagara, Mandya.
*Corresponding author:
Dr.Hanumantha B Vaggara, Post graduate, Department of Genaral Surgery, Adichunchanagiri Institute of Medical Sciences, BG Nagara, Mandya, Karnataka, India.
E-mail: hanumanthavaggar@gmail.com
Abstract
Background: Duplication cysts in gastrointestinal tract are rare congenital lesions where some presents asymptomatically while others presents with abdominal pain, bleeding, infection and Intestinal obstruction and treatment varies with the symptoms. In asymptomatic patients, surgical resection is controversial where as it is a choice in symptomatic patients. Here we describe a case of acute intestinal obstruction treated with exploratory laparotomy and excision of the infected duplication cyst done along with the Anterior resection & Diverting Loop Transverse colostomy.
Keywords: Duplication cyst, carcinoma of sigmoid colon, acute intestinal obstruction.
-------------------------------------------------------------------------------------------------------------------------------------------------------------------------
Introduction
Gastrointestinal (GI) duplications are rare congenital malformations which can occur anywhere in the gastrointestinal tract (GIT).[1] They are bounded by a common wall with or without a connection with the bowel. The cyst contain one outer muscular layer which lined with different types of GI mucosa. GIT duplications may present as either solid or cystic tumors, intussusception, perforation, obstruction or GI bleeding. Cysts are managed surgically depending on its size, shape and site of adherence.[2]
Case report
A 60 yr old lady visited surgical OPD with the complaints of pain and distension of abdomen since five days; pain was intermittent and colicky in nature was associated with vomiting and obstipation since four days. She was on regular antihypertensives treatment since 8 years. The clinical examination revealed generalised distension of abdomen (Figure 1), umbilicus was everted and shifted above without any visible peristalsis. There was diffuse tenderness & guarding present over all the quadrants of the abdomen with hyper resonant note on percussion. There was no evidence of free fluid in abdomen.
Patient was investigated with X-ray erect abdomen, USG abdomen, Contrast Enhanced Computerized Tomography (CECT) of abdomen. Plain X-Ray of erect Abdomen showing multiple air fluid levels with distension of large bowel till descending colon (Figure 2). USG abdomen & pelvis showed mild to moderate amount of free fluid in the peritoneal cavity with sluggish bowel peristalsis and thickening of long segment of descending colon (Figure 3). CECT abdomen showed irregular, heterogenously enhancing polypoidal circumferential wall thickening involving sigmoid colon extending distally up to Recto sigmoid junction and proximally just distal to the junction of sigmoid colon with the descending colon likely represents a malignant thickening (Figure 4).
Figure 1: Generalized distension of abdomen.
Figure 2: Plain X-Ray of Erect Abdomen with air fluid levels and distension of large bowel till descending colon
Figure 3: USG abdomen & pelvis showing peritoneal free fluid & thickening of descending colon long segment.
Figure 4: CECT abdomen.
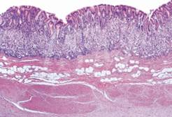
With the provisional diagnosis of acute intestinal obstruction secondary to carcinoma sigmoid colon, exploratory laparotomy was done. The cystic lesion adjacent to recto-sigmoid junction was concluded as a sigmoid colon duplication cyst. Excision of the infected duplication cyst was done along with the anterior resection & diverting loop transverse colostomy (Figure 5). The excised specimen was sent for histopathological examination which confirmed duplication cyst and adenocarcinoma of colon. Microscopic sections through the cyst shows layers of intestinal mucosa, submucosa, muscularis propriya and transmural necrosis with dense inflammatory cells (Figure 6). Microscopic section of rectosigmoid colon tumor shows cells arranged in glandular patterns, sheets or columns. Glands are irregular shaped with loss of polarity. Individual tumor cells are pleomorphicand infilterated into submucosa and muscularis mucosa arranged in clusters and singles (Figure 7). The colostomy closure was done after two months and follow up done at 4th month.
a |
b |
c |
d |
Figure 5: (a) Infected Duplication cyst; (b) Excision of cyst; (c) Specimen of Recto Sigmoid mass after Anterior Resection; (d) Diverting Loop Transverse Colostomy.
Figure 6: Microscopic section of the cyst.
Figure 7: Microscopic section of recto-sigmoid colon tumor.

Figure 8: Colostomy closure done after 2 months & follow up at 4th month
Discussion
Duplication Cysts are rare congenital anomalies which can be seen anywhere in the GIT. Cysts are bounded with a common wall with or without a connection with the bowel. Duplications appear as either cystic (86%) or tubular. Ileum is the common site for duplication, accounting for over 60% of cases.[1-5] Other sites of duplications may be seen in esophagus, stomach, duodenum & sigmoid colon. The cyst contain one outer muscular layer which lined by different types of GI mucosa.[3] Malignant degeneration of the duplication cyst is rare.[6-8] The clinical presentation of GI duplications varies with the age. The majority of cases present before the age of 2 years. Until adulthood most of the colonic duplication cysts remains asymptomatic. When becomes symptomatic, commonly presents as abdominal pain. Other clinical manifestations include obstruction, volvulus, bleeding & malignant change.[9] USG is an useful imaging modality but the CT imaging or contrast enema establishes best diagnosis. Excision of the cyst prevents complications like perforation, bleeding, obstruction, and malignant change. The En bloc resection of the cyst along with adjacent viscera is the treatment for colonic duplications which are symptomatic.[9] Tufino et.al. claims that laproscopic right hemicolectomy for caecal and ascending colon duplication cyst has advantages over open right hemicolectomy.[10]
Financial support and sponsorship: Nil
Conflict of interest: Nil
References
1. Ricciardolo AA, Iaquinta T, Tarantini A, Sforza N, et al. A rare case of acute abdomen in adult:The intestinal duplication cyst. case report and review of the literature. Annals of Medicine and Surgery 2019; 40: 18-21.
2. Puligandla PS, Nguyen LT, St-Vil.D, et al.,Gastrointestinal duplications. Journal of Pediatric Surgery 2003; 38(5): 740–744.
3. Sarpel U, Le MN, Morotti RA, Dolgin SE. Complete colorectal duplication. Journal of the American College of Surgeons 2005; 200(2):304–305.
4. Fotiadis C, Genetzakis M, Papandreou I, Misiakos EP, Agapitos E, Zografos GC. Colonic duplication in adults: report of two cases presenting with rectal bleeding. World Journal of Gastroenterology 2005; 11(32): 5072–5074.
5. Choong CK, Frizelle FA. Giant colonic diverticulum: report of four cases and review of the literature. Diseases of the Colon and Rectum 1998; 41(9): 1178–1185,
6. Liu R, Adler DG. Duplication cysts: Diagnosis, management, and the role of endoscopic ultrasound, Endosc Ultrasound. 2014 Jul-Sep; 3(3): 152–160.
7. Inoue Y, Nakamura H. Adenocarcinoma arising in colonic duplication cysts with calcification: CT findings of two cases. Abdominal Imaging 1998; 23(2): 135–137.
8. Hickey WF, Corson JM. Squamous cell carcinoma arising in a duplication of the colon: case report and literature review of squamous cell carcinoma of the colon and of malignancy complicating colonic duplication. Cancer 1981; 47(3); 602–609.
9. Holcomb III GW, Gheissari A, O’Neill Jr JA, Shorter NA, Bishop HC. Surgical management of alimentary tract duplications. Annals of Surgery 1989; 209(2): 167–174.
10. Tufino.J.F, Espin.D.S, Moyon.M.A, Moyon.F.X et al., Laprascopic approach to non-communicating intestinal duplication cyst in adult. J. Surg, 2018; 4:1-3.

Attribution-NonCommercial-ShareAlike
CC BY-NC-SA

An official peer reviewed publication of
Sri Siddhartha Medical College & Research Centre
Constituent College of Sri Siddhartha Academy of Higher Education
(Deemed to be University u/s 3 of UGC Act, 1956)
Accredited 'A' Grade by NAAC
Tumakuru, Karnataka, India. 572107
Research Journal of Medical and Allied Health Sciences is a medium for the advancement of scientific knowledge in all the branches of Medicine and Allied Sciences and publication of scientific research in these fields. The scope of the journal covers basic medical sciences, medicine and allied specialities, surgery and allied specialities, dentistry, nursing, pharmacy, biotechnology, public health and other branches of the allied health sciences. This journal is indexed with Advanced Science Index(ASI), National Science Library and Open J Gate.

E-ISSN : 2582-080X | : editor@ssmctumkur.org , info@ssmctumkur.org

Attribution-NonCommercial-ShareAlike 4.0 International (CC-BY-NC-SA 4.0)