Case Report |
||
Year : 2020 | Volume : 3 | Issue : 1 | Page : 32-34 DOI: https://doi.org/10.46319/RJMAHS.2020.v03i01.007 ![]() |
||
|
||
Childhood Generalised Pustular Psoriasis-a rare case report
Nishtha Patel1, Veena Thimmappa2*, Narendra Gangaiah3
1Junior Resisdant, 2 Associate Professor, 3 Professor and HOD, Dept of Dermatology, Sri Siddhartha Medical College, Tumkur, Sri Siddhartha Academy of Higher Institution, Tumkur.
*Corresponding author:
Dr Veena Thimmappa, MBBS MD, Associate Professor, Dept of Dermatology, Sri Siddhartha Medical College, Tumkur, Sri Siddhartha Academy of Higher Institution, Tumkur 572107, Karnataka. India.
E-mail: veenathimmappa@gmail.com
Abstract
Background: Generalized pustular psoriasis has a benign course in children compared to adults. In severe form, it might endanger patient’s life. Considering the rarity of the disease in children, no therapeutic options are safe and effective in childhood pustular psoriasis. Cyclosporine, acitretin, and methotrexate are most commonly used medications to control pediatric generalized pustular psoriasis. Some reviews recommend that retinoids are the main treatment in pustular psoriasis. But in early childhood, it’s difficult to manage with retinoids. This case report describes childhood pustular psoriasis with satisfactory response and good tolerance with cyclosporine.
Keywords: pustular psoriasis, childhoodpsoriasis, cyclosporine
-------------------------------------------------------------------------------------------------------------------------------------------------------------------------
Introduction
Von Zumbusch first described generalized pustular psoriasis in1910 which is rare and severe.[1] Baker and Ryan classified pustular psoriasis into 4 types: exanthematous, annular,Von Zumbusch, and localized(except for acral and palmoplantar).[2] Pustular psoriasis is characterized by development of subcorneal sterile pustules on erythematous base.[1] Throughout medical literature only less than 200 cases have been identified as Von Zumbusch form, in children.[3] We are reporting this case because of its rarity and therapeutic challenge.
Case report
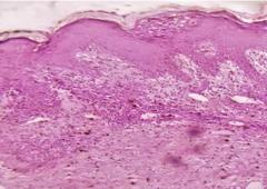
A 3-year-old female child born to a non consanguinous parents, informant being mother, presented to us with erythematous papules, plaques and generalized pustules all over the body including genitals and scalp [figure 1] , with sparing of palm and soles. Mother gives a history of fever 15days back. Fever was insidious in onset and continuous in nature which subsided with syrup paracetamol. After 3 days of fever child started developing purpuric papules and pustules over scalp and retro auricular continue to progress down the whole-body including genitalia with sparing palm and soles. Mother consulted a dermatologist who prescribed topical emollients with no improvement. There was no history of any other topical medications, drug allergy or any infections. Based on the history and clinical presentation differential diagnosis for this patient could be pustular psoriasis, acute generalized exanthematous pustulosis (AGEP) and irritant contact dermatitis. AGEP attributed to drugs in majority of the cases with rapid development of non-follicular sterile pustule on erythematous base which occurs within 48 hours with flexural involvement. But our patient had no medication history other than syrup paracetamol, so AGEP excluded. Irritant contact dermatitis present as erythema on affected area with history of topical application for long time followed by itching and burning sensation, since our patient doesn’t have any history of other topical medication (native, homeopathic or ayurvedic) irritant contact dermatitis was excluded. Histological examination showed, multilocular subcorneal pustules and polymorphs with overlying parakeratotic layer and elongated rete ridges [figure 2]. Dermascopy showed diffuse, uniformly arranged red dots and globules with few areas showing clustering with a uniform red background and white scales which is suggestive of psoriasis [figure 3].
Investigations revealed leucocytosis (35,480); haemoglobin (11.8 mg/dl); platelets count (5.3 l/cumm); erythrocyte sedimentation rate(75mm/hr) and C reactive protein (13.2 mg/l). Liver and renal function tests were within normal limits.
According to the weight, child was managed with intravenous antibiotics, antihistamine, hydrocortisone and liquid paraffin for topical application for 5days and protein powder. Along with IV medications child was also put on syrup omnacortil (2.5ml) BD, syrup cyclosporine (100mg/ml) 0.25ml once in morning, syrup zinc1ml in morning. Within few days of initiation of treatment erythema pustule and papule partially regressed [figure 4]. Steroid was tapered eventually with improvement of symptoms and patient was advised for weekly follow-up.

Figure 1 a, b, c: Generalized multiple papules and pustules on erythematous base with annular pattern .
Figure 2: Histopathology showed multilocular subcorneal pustules and polymorphs with overlying parakeratotic layer and elongated rete ridges.
Figure 3: Dermascopy shows diffuse, uniformly arranged red dots and globules with few areas showing clustering with a uniform red background and white scales.

Figure 4 a, b: patient responded to oral cyclosporine within 2 weeks.
Discussion
Pustular psoriasis is a severe variety of psoriasis and is rare in the first decade of life. Pustular psoriasis in children is only 0.5-2% in India. [4] Four different patterns are described: exanthemmatic, annular, generalized (Von Zumbusch) and localized.[5] Infections, especially beta hemolytic streptococcal pharyngitis, trauma and stress are the most triggers for psoriasis in children.[6] Our patient initially presented with fever for 3 days which could be the most probable triggering factor for pustular psoriasis with the annular form.
For childhood psoriasis, the treatment of choice depends on associated signs, symptoms and distribution of the lesions, weight, gender, age and co-morbidities. The course of disease is occasionally unexpected and prolonged for generalized pustular psoriasis.[7] It’s difficult to treat pediatric pustular psoriasis. Cyclosporine, methotrexate and acitretin are most commonly used medicationsin management of pediatric generalized pustular psoriasis. Retinoids are recommended in infants and male adolescents for short-term treatment of pustular or erythrodermic psoriasis. Cyclosporine helps to control the psoriasis acute phase. Cyclosporine act as an immunosuppressant.[8] As associate anti-psoriatic drug, Cyclosporine can exert its effect in many ways in which like inhibition of phospholipid membrane metabolism, lymphokine production inhibition, MHC (major histocompatibility) classII expression inhibition, modulation of ca2+ signal.[9]
Cyclosporine 2mg/kg/day is the treatment of genialized pustular psoriasis and patient usually recovers within 2 weeks. Oral cyclosporine 2mg/kg/day was started for our patient and within 2 weeks patient responded.
In summary pustular psoriasis in childhood is rare and has both therapeutic and diagnostic challenges. The therapy’s goal is to achieve durable remission with improve quality of life for the patient. Evidence based data is limited in childhood pustular psoriasis, which is attributable to rarity of the disease.
Acknowledgements:Nil
Financial support and sponsorship:Nil
Conflict of interest:Nil
References
1. Khan SA, Peterkin GA, Mitchell PC. Juvenile generalized pustular psoriasis. A report of five cases and a review of the literature. Arch Dermatol. 1972; 105:67-72.
2. Baker H, Ryan TJ. Generalized pustular psoriasis. A clinical and epidemiological study of 104 cases. Br J Dermatol. 1968; 80:771-93.
3.Cassandra M, Conte E, Cortez B. Childhood pustular psoriasis elicited by the streptococcal antigen: a case report and review of the literature. Pediatric Dermatol. 2003; 20:506-10.
4. Dogra S, Bishnoi A. childhood psoriasis: what is new and what is new.Indian J Pediatr Dermatol 2018;19:308-14.
5.Posso-De Los Rios CJ, Pope E, Corrales L A systematic review of systemic medications for pustular psoriasis in pediatrics. Pediatric Dermatology 2014; 31: 430-439.
6.Fraga S, Naiara A, Fátima M, Nogueira A, Vitória A, et al. Refractory erythrodermic psoriasis in a child with an excellent outcome by using etanercept. Anais Brasileiros de Dermatologica 2011; 86: 144-147.
7. Su YS, Chen G, Lan EC Infantile generalized pustular psoriasis: a case report and review of ssthe literature. Dermatologica Sinica 2011; 29: 22-24.
8. Kilic SS, Hacimustafaoglu M, Celebi S, Karadeniz A, Ildirim I Low dose cyclosporine A treatment in generalized pustular psoriasis. Pediatric dermatology 2001; 18: 246-248.
9. Bos JD the pathomechanisms of psoriasis: skin immune system and cyclosporine. Br J Dermatol 1988; 118: 141-155.

Attribution-NonCommercial-ShareAlike
CC BY-NC-SA

An official peer reviewed publication of
Sri Siddhartha Medical College & Research Centre
Constituent College of Sri Siddhartha Academy of Higher Education
(Deemed to be University u/s 3 of UGC Act, 1956)
Accredited 'A' Grade by NAAC
Tumakuru, Karnataka, India. 572107
Research Journal of Medical and Allied Health Sciences is a medium for the advancement of scientific knowledge in all the branches of Medicine and Allied Sciences and publication of scientific research in these fields. The scope of the journal covers basic medical sciences, medicine and allied specialities, surgery and allied specialities, dentistry, nursing, pharmacy, biotechnology, public health and other branches of the allied health sciences. This journal is indexed with Advanced Science Index(ASI), National Science Library and Open J Gate.

E-ISSN : 2582-080X | : editor@ssmctumkur.org , info@ssmctumkur.org

Attribution-NonCommercial-ShareAlike 4.0 International (CC-BY-NC-SA 4.0)